de Leidse balpenmoord
Misdaad

Moorddossier: de Leidse balpenmoord

De Leidse balpenmoord is net als de Baarnse moordzaak en de Heineken-ontvoering een begrip in de misdaadgeschiedenis. In mei 1991 werd de 53-jarige Mary de Meijere dood gevonden in haar woning. Ze bleek een balpen in het hoofd te hebben, die via het rechteroog de hersenen was binnengedrongen. Een gruwelijke en gewiekste moord, zo concludeerde de politie. Nee hoor, een zeldzaam ongeluk, zo wierpen deskundigen tegen. Ruim dertig jaar na dato is het mysterie nog steeds niet echt opgelost.

Henk Strootman

In Panorama belichten we elke week een zaak uit de Net5-serie Moorddossier. Dit keer: een dodelijke pen. Moorddossier over de Leidse balpenmoord wordt op 23 november uitgezonden door NET5 en is daarna te zien op kijk.nl.

Het is woensdag 29 mei 1991 als De Telegraaf meldt dat in een woning aan de Witte Rozenstraat in Leiden een 53-jarige vrouw door een misdrijf om het leven is gekomen. “Haar stoffelijk overschot werd zondag al gevonden door haar 20-jarige zoon, maar eerst werd aangenomen dat ze een natuurlijke dood was gestorven. Sectie wees echter uit dat er sprake is van een misdrijf.”

Zomaar een artikeltje, ergens weggestopt op pagina 7. Geen foto’s, geen grote krantenkoppen. Je zou er bijna overheen lezen. Niemand kan op dat moment vermoeden dat deze zaak de geschiedenis in zou gaan als de unieke en veelbesproken ‘Leidse balpenmoord’. En ook niet dat het kleine krantenstukje uit mei 1991 in de loop der jaren zou uitgroeien tot terugkerend voorpaginanieuws, ronkende achtergrondverhalen en gedetailleerde rechtbankverslagen.

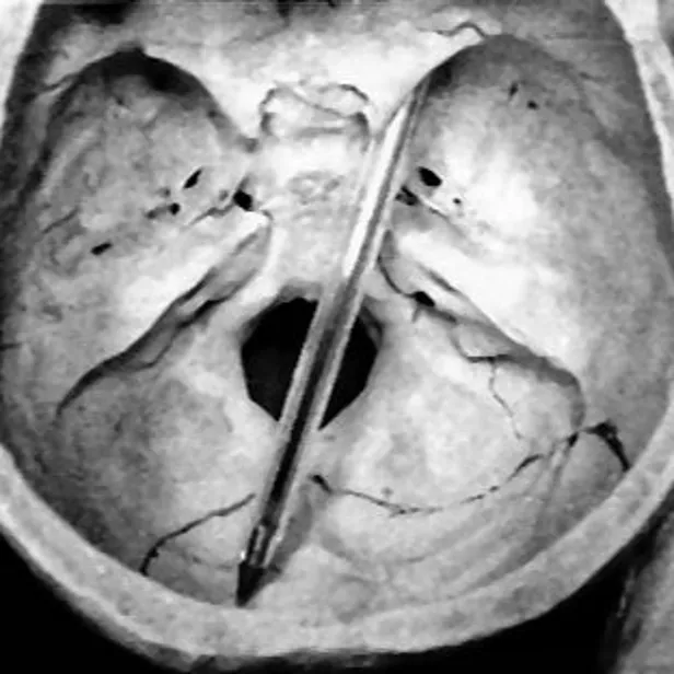
Een zwarte Bic-balpen is via het rechteroog binnengedrongen.

Het begint allemaal op 26 mei 1991, een frisse en zwaarbewolkte zondag. De klok staat op 18.10 uur als de 20-jarige Jim de woning van zijn moeder aan de Witte Rozenstraat in Leiden binnengaat om zoals elke zondag bij haar te gaan eten. Het is stil in huis, zo valt Jim op als hij naar binnen gaat. Eenmaal in de achterkamer ziet hij waarom; moeder Mary ligt voorover op de grond en geeft geen enkel tegen van leven. Geschrokken belt Jim de politie, die weinig anders kan doen dan een schouwarts naar de locatie te laten komen.

Het onderzoek in die woning op nummer 9 stelt de recherche meteen al voor een raadsel. Onder het hoofd van de vrouw is een kleine hoeveelheid bloed te zien, zonder dat meteen duidelijk is waar dat vandaan komt. Totdat de schouwarts het gezicht van dichterbij bekijkt. Daar ziet hij naast het gezwollen rechteroog een kleine wond. De oorzaak is niet duidelijk, maar voor de schouwarts is het aanleiding genoeg om uit te gaan van een niet-natuurlijk overlijden. Op last van justitie wordt het lichaam in beslag genomen en voor sectie overgebracht naar het toenmalige gerechtelijk laboratorium in Rijswijk. Dit gebeurt op maandag 27 mei.

De zaak wordt een mediahype.

Nadat de patholoog-anatoom de schedel van het slachtoffer heeft gelicht – hij verkeert dan nog in de veronderstelling dat Mary een hersenbloeding heeft gehad – treft hij tot zijn grote verbazing in de hersenen een intacte balpen aan. De pen, een zwarte van het merk Bic, is via het rechteroog schuin het hoofd binnengedrongen en linksonder geëindigd. De sectiearts stelt vast dat het slachtoffer binnen één à twee seconden in coma moet zijn geraakt en daarna niet langer dan een kwartier tot dertig minuten kan hebben geleefd. In zijn verslag gebruikt de patholoog-anatoom het woordje ‘steekwond’ en dat is voor de recherche het startsein voor een omvangrijk onderzoek. Blijkbaar is er opzet in het spel en heeft zich daar aan de Witte Rozenstraat dus een misdrijf afgespeeld. Dat er ook aanwijzingen zijn dat Mary, die Birkenstock-sandalen droeg, met een pen in de hand over een losliggend kleedje kan zijn gevallen, daar heeft opeens niemand het meer over.

Perfecte moord?

Zoals te doen gebruikelijk in grote rechercheonderzoeken wordt eerst de levenswandel van het slachtoffer tegen het licht gehouden. Wie was deze vrouw? Wat deed ze in het dagelijkse leven, hoe was de gezinssituatie, waren er conflicten, hoe stonden de financiën ervoor en – het allerbelangrijkst – wie kon er belang hebben bij haar dood? De rechercheurs merken al snel dat ze te maken hebben met een intellectueel, niet alledaags milieu. Mary de Meijere was in 1962 getrouwd met Rob Terwiel, een hoogleraar theoretische natuurkunde aan de Universiteit van Leiden. Mary had op diezelfde universiteit Arabische taal- en letterkunde gestudeerd en werkte bij een onderwijsinstelling in Leidschendam. Ze had veel vrienden en was jarenlang de drijvende kracht achter kindertoneelgroep Tierlantijn.

Rob en Mary hebben drie kinderen, een jongen en twee meisjes, en naar buiten toe vormt het gezin een perfect plaatje. Ingewijden weten echter beter. Het huwelijk is slecht en in de periode van Mary’s overlijden loopt er zelfs een echtscheidingsprocedure, zo ontdekt de recherche. Zou Rob, die als natuurkundige wellicht precies wist hoe je onopgemerkt iemand met een balpen kon vermoorden, iets met de zaak te maken hebben? Was hij wellicht gefrustreerd over de lopende echtscheidingsprocedure? Het zou een motief kunnen zijn, maar de recherche moet die optie snel laten vallen. Rob blijkt een alibi te hebben voor het weekend waarin Mary is overleden.

Maar daarmee is het vermoeden van de politie dat het hier gaat om een moord in de relatiesfeer nog niet weggenomen. Integendeel, het team meent in allerlei omstandigheden een bevestiging te zien van deze theorie. Zo is er grote twijfel over de herkomst van de Bic-balpen. Nergens in huis zijn sporen van zwarte inkt gevonden. Daar komt nog eens bij dat de zus van het slachtoffer bij de politie verklaart dat Mary nooit met een zwarte balpen schreef. De zus vertelt ook dat Mary altijd erg voorzichtig was en haar kinderen altijd waarschuwde om niet met scherpe voorwerpen te lopen.

De nieuwe Panorama ligt nu in de winkel en is hier te bestellen.

Uitermate verdacht is ook het feit dat er geen enkel spoor is van inbraak, zo concludeert de recherche. Dit moet wel betekenen dat de dader door Mary is binnengelaten of over een eigen sleutel beschikte. Het wil er bij de politie en het OM niet in dat iemand alleen door een ongelukkige val een pen, via het oog, diep in de hersenen kan krijgen. En hoe verdacht is het niet dat de familie tijdens de begrafenis al weet te vertellen dat Mary is overleden door een pen in het hoofd, een detail dat de recherche nog niet naar buiten had gebracht? Daar komt bij dat alle gezinsleden zeer intelligent zijn, wellicht hebben ze geprobeerd de perfecte moord te plegen door het bijvoorbeeld op een hersenbloeding te laten lijken.

Benieuwd naar de rest van het artikel? Lees het in de nieuwste Panorama of bekijk het op Blendle.